Achieving Ideal Smiles Through Cosmetic Dentistry
- dwdadmin
- 0
- on Feb 05, 2024
Everyone deserves to have a bright, confident smile they’re happy to share with others. However, sometimes the appearance of minor cosmetic flaws can chip away at our self-esteem and prevent us from feeling comfortable smiling in public. Thankfully, modern cosmetic treatments from your local Torrance dentist are a safe and effective way to transform your smile.
During a consultation, your dentist will work with you to tailor a treatment plan that best fits your specific goals and needs. This will involve addressing any issues you’re concerned with, discussing what you would like to achieve, and providing realistic expectations about the results. This will help you feel confident in your decision and ensure the procedure is performed properly to produce long-lasting results.
While many people may confuse cosmetic dentistry with restorative dentistry, the two services are distinctly different. While restorative dentistry is focused on restoring the function of your teeth, cosmetic dentistry is primarily about improving dental aesthetics.
The procedures involved in cosmetic dentistry include but are not limited to:
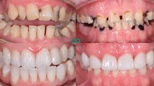
Staining and enamel defects: Professional strength whitening and dental veneers can both offer fast and effective ways to improve the appearance of your smile. However, the most important thing is to find a dentist you trust to perform these treatments. Make sure to read reviews from previous patients, ask your potential dentist for examples of their work, and inquire about the materials they use. You want to be certain your dentist is using high-quality materials that will look natural and last for years.
Other cosmetic dentistry procedures include:
Orthodontic treatments, like Invisalign and traditional braces, can correct misalignment problems to help you get a straight smile and improved oral functionality. Dental implants replace missing teeth with natural-looking and functional prosthetics that restore your smile’s appearance and boost your confidence. Gum contouring can reshape your gum line to create a balanced and symmetrical smile, especially useful for those with a “gummy” smile.
After undergoing cosmetic dentistry, it’s essential to maintain good oral hygiene habits to keep your new smile looking its best for as long as possible. This includes regularly brushing and flossing, avoiding foods and beverages that can stain, and scheduling regular visits with your dentist for cleanings and checkups.
Investing in cosmetic dentistry can be a life-changing experience. If you’re ready to take the next step towards your dream smile, schedule an appointment with a qualified cosmetic dentist in Torrance today. With recent advancements in technologies, procedures, and materials, it’s now easier than ever to achieve that picture-perfect grin you’ve always wanted. The benefits extend well beyond a healthier, more attractive smile, and can positively impact your confidence and self-esteem.